Seeing white spots on your teeth can worry you. It affects how you feel about your smile. We’re here to explain what these spots mean and how to fix them.
These spots might show early signs of tooth decay or enamel damage. Going to the dentist every six months is key. It helps catch and treat problems early. You can also help at home by brushing your teeth twice a day with fluoride toothpaste. Try to avoid sugary foods too. For more tips on keeping your mouth healthy, check our FAQ section.
Key Takeaways
- White spots can be an early sign of tooth decay.
- Regular dental check-ups can help prevent issues.
- Good oral hygiene practices, like brushing and flossing, are crucial.
- Avoiding sugary foods and tobacco can help maintain your oral health.
- Professional treatments are available to address white spots.
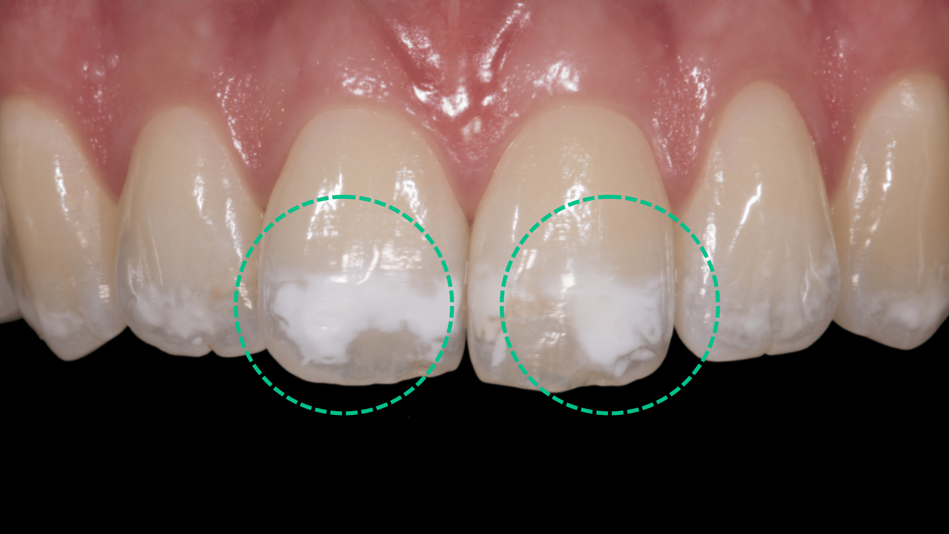
What Are White Spots on Teeth?
White spots on teeth can worry you, but knowing what they are helps. We’ll look into what they are, their definition, and how common they are.
Clinical Definition and Appearance
White spots on teeth are small, lighter patches on your teeth. They show up when the enamel starts to break down. This can happen due to bad dental care, too much fluoride, or enamel hypoplasia.
These spots can show up on any tooth surface. They might be more visible on your front teeth.
How Common Is This Dental Condition?
White spots on teeth are quite common. They can happen to anyone, but kids and teens are more likely to get them.
How often white spots appear can change. It depends on how well you brush, what you eat, and how much fluoride you use.
Common Causes of White Spots on Teeth
Many things can cause white spots on teeth. Knowing what they are can help keep your mouth healthy. These spots can come from tooth development issues or daily habits.
Dental Fluorosis
Dental fluorosis is a main reason for white spots. It happens when too much fluoride is in the mouth when teeth are growing. Fluoride is good for teeth, but too much can cause problems.
Symptoms of dental fluorosis can be mild or severe. Mild cases might just have a few white spots. But severe cases can make teeth look very different.
Enamel Hypoplasia
Enamel hypoplasia means the enamel is not fully developed. It can be caused by not getting enough nutrients, infections, or trauma when teeth are growing.
- Teeth with enamel hypoplasia can decay and feel sensitive more easily.
- It can also cause white spots because the enamel is thinner.
Poor Dental Hygiene and Demineralization
Poor dental care can also lead to white spots. Plaque buildup can cause minerals to leave the enamel, making spots.
Brushing and flossing regularly can stop plaque and prevent spots. Using fluoride toothpaste helps make teeth stronger.
Diet and Acidic Foods
What you eat affects your teeth. Eating too much sugar or acidic foods can cause white spots.
- Drinking acidic drinks can wear away enamel, causing spots.
- Eating a lot of sugar feeds mouth bacteria, leading to plaque and spots.
Eating well and watching what you eat can help avoid white spots. Regular dental visits are also key for catching and treating problems early.
White Spots After Braces: A Special Case
Braces can make it harder to keep teeth clean. This is because food and plaque can get stuck in the brackets and wires. This can cause white spots on your teeth.
Why Orthodontic Treatment Can Lead to White Spots
Brackets and wires can trap food and plaque. This makes it tough to clean your teeth well. If you don’t clean your teeth right, you might get white spots. It’s crucial to maintain rigorous oral hygiene habits to prevent this issue.
Make sure to clean around the brackets and wires well. Use fluoride mouthwash and brush your teeth correctly. Regular dental check-ups are also essential to keep an eye on your teeth’s health during orthodontic treatment.
Risk Factors During Orthodontic Treatment
Several factors can increase the risk of developing white spots during orthodontic treatment. These include:
- Inadequate oral hygiene practices
- Consuming sugary or acidic foods and drinks
- Insufficient fluoride exposure
- Pre-existing dental conditions
Knowing these risk factors can help you prevent white spots. Using a water flosser can be very helpful in removing plaque and food particles from around the brackets.
By understanding the causes and risk factors of white spots after braces, you can take steps to keep your smile healthy and beautiful during orthodontic treatment.
White Spots on Teeth in Children
Children often get white spots on their teeth because of their diet and how they take care of their teeth. Seeing these spots can worry parents. But, knowing why they happen and how to fix them can help a lot.
Causes Specific to Children’s Developing Teeth
Many things can cause white spots on kids’ teeth. Too much fluoride when teeth are growing can cause dental fluorosis. This shows as white spots or lines on teeth. Poor oral hygiene also leads to white spots because it weakens the enamel.
What kids eat is very important too. Eating acidic foods and drinks often can wear away the enamel. A diet without important nutrients can also hurt their teeth.
- Inadequate brushing and flossing habits
- Frequent consumption of sugary or acidic foods and drinks
- Excessive fluoride intake during tooth development
When Parents Should Be Concerned
White spots on kids’ teeth might look bad, but they can also mean there’s a bigger problem. Parents should worry if they see:
- More or bigger white spots
- Staining or discoloration around the spots
- Pain or sensitivity with the spots
If you see these signs, it’s best to talk to a pediatric dentist. They can check the teeth and suggest treatments to stop the problem and keep the teeth healthy.
By staying ahead and knowing what to do, you can help your child keep their teeth clean and white. Regular dentist visits and good tooth care are essential to avoid white spots and keep teeth healthy.
Diagnosing White Spots on Teeth
Getting a precise diagnosis for white spots on teeth is key to finding the right treatment. A detailed dental exam is how this is done. When you see a dentist, they will check your teeth carefully to find out why and how bad the spots are.
Professional Dental Examination Process
Your dentist will look at your teeth to spot any white spots or other problems. This includes:
- Looking at your dental history to see if past issues might be connected.
- Using special lights and magnification to find early signs of damage.
- Checking how you take care of your teeth and what you eat to find possible causes.
Diagnostic Tests and Imaging
Sometimes, just looking at your teeth isn’t enough. Your dentist might suggest more tests or images, like:
| Diagnostic Method | Purpose |
|---|---|
| X-rays | To find any hidden decay or problems inside the tooth. |
| Fluorescence-Based Devices | To spot early decay or damage by showing demineralized areas. |
| Saliva Testing | To check your mouth’s environment, like bacteria or saliva pH. |
For more details on diagnosing and treating white spots, check out this blog .
By using these tests, your dentist can give a clear diagnosis. Then, they can suggest a treatment plan that fits your needs to fix the white spots.
Home Remedies for Treating White Spots on Teeth
There are home remedies you can try to treat white spots on your teeth. These can be helpful when you also practice good oral hygiene and eat a balanced diet.
Step-by-Step Oil Pulling Method
Oil pulling is an old practice that cleans your mouth by swishing oil. To try it for white spots, follow these steps:
- Take 1 tablespoon of coconut oil or sesame oil.
- Swish the oil around in your mouth for 15-20 minutes.
- Spit out the oil and rinse with warm water.
- Brush your teeth as usual.
Oil pulling can make white spots less noticeable by removing bacteria and strengthening your teeth. But, more research is needed to confirm its full benefits.
Using Remineralization Products at Home
Remineralization products can strengthen your tooth enamel and make white spots less visible. You can find these products at pharmacies or online. Look for ones with fluoride and calcium to help remineralize your teeth.
To use these products well:
- Follow the product instructions carefully.
- Use it consistently, ideally at the same time each day.
- Combine it with good oral hygiene, like brushing and flossing regularly.
While these products can help, talk to your dentist before starting any new treatment. They can guide you on the best option for your needs.
By adding these home remedies to your oral care routine, you can actively work on treating white spots on your teeth. Always see a dental professional if you’re worried about white spots or other symptoms.
When to See a Dentist About White Spots
Some white spots on teeth might not be a big deal. But, there are times when you should see a dentist. If you’re not sure, it’s always better to check with a professional.
Warning Signs That Require Professional Attention
Certain signs with white spots on teeth mean you need to see a dentist right away. These include:
- Rapid progression of the white spots, indicating possible aggressive demineralization.
- Pain or sensitivity, which could signify that the enamel is compromised.
- Visible cavities or signs of decay around the white spots.
- Changes in tooth color or texture, suggesting underlying issues.
If you notice any of these signs, you should make an appointment with your dentist. Early action can stop more damage and lead to better results.
Questions to Ask Your Dentist About Treatment Options
When you go to the dentist, having questions ready can help you understand your options. Think about asking:
- What are the possible causes of my white spots, and how can they be addressed?
- What treatment options are available, and which one is most suitable for my condition?
- Are there any non-invasive or minimally invasive treatments that can be considered?
- What are the potential risks and benefits associated with the recommended treatment?
- How can I prevent white spots from developing or progressing in the future?
By asking these questions, you can make informed decisions about your dental care. This ensures you get the best treatment for your condition.
Conclusion
White spots on teeth can be treated at home or by a dentist. Knowing the causes and treatments helps you feel good about your smile again.
We talked about why white spots happen, like dental fluorosis and poor brushing. We also looked at ways to fix them, from oil pulling to dental visits.
Now you know what to do about white spots. If you’re worried, start by brushing better and using special products. Or, see a dentist for help.
Don’t let white spots stop you from smiling. With the right steps, you can have a healthier, happier smile. Start by making an appointment with a dentist or begin a treatment plan that fits you.
FAQ
What are white spots on teeth?
White spots on teeth are areas where the enamel is damaged. They look white or chalky. These spots can be a sign of tooth decay or enamel damage.
Can white spots on teeth be treated at home?
Some home remedies like oil pulling might help. But, it’s best to see a dentist first. They can tell you the best treatment for your case.
How can I prevent white spots on teeth during orthodontic treatment?
Keep your teeth clean with regular brushing and flossing. Use fluoride mouthwash too. Don’t forget to visit your dentist often.
Are white spots on children’s teeth a cause for concern?
White spots on kids’ teeth might mean enamel hypoplasia or dental fluorosis. It’s not always serious, but seeing a pediatric dentist is a good idea.
Can dietary changes help prevent white spots on teeth?
Yes, eating less acidic and sugary foods helps. Foods with calcium and vitamin D are good for your teeth too.
How are white spots on teeth diagnosed?
A dentist will look at your teeth first. They might use X-rays to see how bad it is.
What treatment options are available for white spots on teeth?
Treatments depend on why you have white spots. They might use fluoride varnishes or dental bonding. Sometimes, veneers are needed.
Can white spots on teeth be a sign of a more serious condition?
Yes, white spots can mean tooth decay or enamel damage. If not treated, these can get worse and cause bigger problems.




